Skip Menu
Continue
  • 1645 Grand Concourse,
  • Bronx, NY 10452
  • Home
  • About Us
    • Our Office
    • New Patients
    • Smile Gallery
    • Dental Videos
    • Testimonials
  • Our Doctors
    • David Barnett, DDS
    • Darryl Lieberman, DDS
  • Services
      • All on 4®
      • All on 6®
      • Cosmetic Dentistry
      • Crowns & Caps
      • Dental Bridges
      • Dental Fillings
      • Dentures
      • Emergency Treatment
      • Extractions
      • Implant Dentistry
      • Invisalign®
      • Laser Dentistry
      • Night Guards
      • Oral Cancer Screening
      • Pediatric Dentistry
      • Periodontal Treatment
      • Root Canals
      • Sports Mouthguards
      • Teeth Whitening
      • Veneers
    • View All
  • Dental Health
  • Contact
    • Contact Us
    • Request Appointment

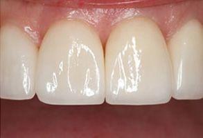
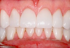
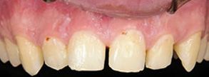
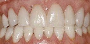
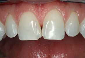
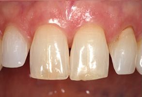
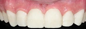
Smile Gallery

Additional Information

Our Location

1645 Grand Concourse
Bronx, NY 10452
(718) 514-7560

Follow Us